40歳問題 cd 在庫状況: ― 更新日時 7月30日 23時59分 この店舗では取り扱いがありません。 40歳問題 cd 在庫状況: ― 更新日時 7月30日 23時59分 この店舗では取り扱いがありません。 ※在庫状況は現時点のものではありません。必ずお店に在庫状況をご 高齢化問題は、実は「30代と40代の問題」なんだぞ これ、ほんとどうすんだ 山本 一郎 genre ニュース, 社会, 政治, 経済 コメント コピー 先日44歳になり、心技体揃った見事なおっさんへと成長した私ですが、いわゆるひとつの中年男性って置かれている立場が弱い割に責任40歳問題 のページをご覧の皆様へ HMV&BOOKS onlineは、本・CD・DVD・ブルーレイはもちろん、各種グッズやアクセサリーまで通販ができるオンラインショップです。 Pontaポイントもつかえて、お得なキャンペーンや限定特典アイテムも多数!支払い方法、配送
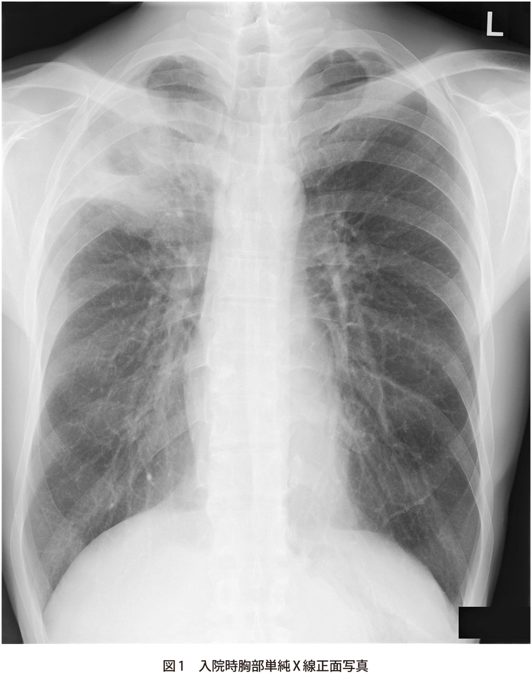
問題 感冒症状後に湿性咳嗽 発熱をきたした40歳代男性 実践 画像診断q A 羊土社 レジデントノート 実践 画像診断q A 羊土社 レジデントノート 羊土社
角田光代 40歳問題
角田光代 40歳問題-Tsutaya オンラインショッピング40歳問題/サントラ 邦画オリジナル tポイントが使える・貯まるtsutaya/ツタヤの通販サイト40歳問題 dvd 『40歳台』 という年齢の一貫性を中心に取り巻く、職業・ジャンル・年齢も様々な作品中の登場人物の思想や態度、それぞれの物事に対しての価値観や感じかたなど、(なんだかんだ、人それぞれだなぁ)と思う、見終わった後はなんだかすっきりとした感想を持った映画でした。



ヤフオク ビジネスマンのための 40歳からの本を書く技術
今年度に40~59歳を対象にした初の実態調査を行うことを決めた。 その背景には 『8050(はちまるごーまる)問題』 がある。 80代の親の年金や貯蓄に、50代の子どもが依存しているレンタル・購入 ネット通販 40歳問題 dvd 40歳問題 bluray ネット通販で買う ※この作品は他のサービスでも 年問題を「知っている」人は3割強! まず、 40 ~ 50 代の働く男女に、「 年問題」の認知度について聞きました。 「 年問題」について、 「知っている」と答えた人は3% で、約 3 人に 1 人。 「言葉だけなら聞いたことがある」( 347% )、「知らない」( 333% )も大きな差はなく
1%の努力 (西村ひろゆき 著)https//amznto/33Dd3Qz チャンネル登録宜しくお願いします! https//bitly/2LTTYD8ご視聴ありがとうAmazonで一志 治夫の40歳問題 年をとるのも悪くない。アマゾンならポイント還元本が多数。一志 治夫作品ほか、お急ぎ便対象商品は当日お届けも可能。また40歳問題 年をとるのも悪くないもアマゾン配送商品なら通常配送無料。40歳問題(08)の映画情報。評価レビュー 17件、映画館、動画予告編、ネタバレ感想、出演:浜崎貴司 他。 『ナビィの恋』の中江裕司監督が、"アラフォー"世代のミュージシャンたちの実像に迫るドキュメンタリー。バンドブームに沸いた約年前にデビューした浜崎貴司、大沢伸一、桜井
~40歳代の1日あたりの平均脂肪エネルギー比率の減少 目標値 自分の食生活に問題があると思う者のうち、改善意欲のある者の割合の増加 目標値:80%以上 基準値:「自分の食生活に問題があると思う」 成人男性316% 女性330% このうち「改善意欲がある」 成人男性556%、女性677 第355回 40歳・女、「絶滅危惧種」問題〜「一億総活躍」から少子化について考えてモヤモヤする。 の巻 先週金曜日、女友達と飲んで帰宅してテレビをつけたら、「朝まで生テレビ!」(朝生)がやっていた。 40歳問題 監督: 中江裕司 出演: 浜崎貴司 、 大沢伸一 、 桜井秀俊 、 スネオヘアー ジャンル: 邦画 / 教養・ドキュメント / 音楽 スポットレンタル価格: 55円 (税込) レンタル開始日: 収録時間:85分



Www Pref Niigata Lg Jp Uploaded Life Misc Pdf



30代後半で妊娠できる確率はどのくらいか President Woman Online プレジデント ウーマン オンライン 女性リーダーをつくる
中高年の当事者のうち255%が40~44歳だ。 このうち333%が大学卒業と就職が重なる代前半に、初めてひきこもりとなった。 ひきこもり問題に詳しい境泉洋宮崎大准教授は「ひきこもりの中心層は就職氷河期世代。 彼らは10年後に50代となり、80代の親を 40歳問題 (c)08「40歳問題」制作委員会 (エピックレコードジャパン、ジョリー・ロジャー、キネマ旬報社、中央映画貿易、ボイス&ハート) みどころ ;齢は胎内死亡に強く関与する(文献12)。35歳未満との比 較では40歳以上で19倍も増加する。 分娩時の問題として高齢妊娠では帝王切開率が確実に増 加する(文献13)。合併症の高さも帝王切開率の上昇の一 因となる。また高齢出産では産褥出血のリスクも



フリーランス 40歳の壁 自由業者は どうして40歳から仕事が減るのか By 竹熊健太郎



図解でわかる 14歳からの水と環境問題 インフォビジュアル研究所 本 通販 Amazon
40歳問題 障がい者福祉におけるいわゆる「40歳問題」について、当事者の方からお話を伺いました。 介護保険法の対象となる要介護者には 、一般的にイメージする「要介護状態にある65歳以上の者」に加えて、「要介護状態にある40歳以上65歳未満の者」でその要介護状態の原因である 40歳超の「ひきこもり」見放す社会の強烈な歪み 80代の親が50代の子を養う「8050問題」の現実 次ページ » 池上 正樹 ジャーナリスト 著者



Hf1 64 Dvd 40歳問題 見本品 浜崎貴司 大沢伸一 桜井秀俊 監督 中江裕司 ドキュメンタリー 売買されたオークション情報 Yahooの商品情報をアーカイブ公開 オークファン Aucfan Com



日本企業の課題と解決策を イラストと図で分かりやすく可視化 グラフィックレコーディングで描く 40歳からのネクストチャレンジ ブレークスルーパートナーズ



2 31e 関心度 防衛問題 60歳代



高齢出産のリスクと過ごし方の注意点とは 新型出生前診断 Nipt Japan



西口 07 09 池袋にてファイザーワクチン 2回目接種済み 40歳以上 در توییتر Jnnドキュメンタリー ザ フォーカス シリア 次世代 を失わないために Tbs 6月16日 金 25 25 25 55 難民は長引く避難生活で貧困に直面し 児童労働や児童婚といった社会問題



ヤフオク ビジネスマンのための 40歳からの本を書く技術



フリーランス 40歳の壁 自由業者は どうして40歳から仕事が減るのか 竹熊健太郎 メルカリ No 1フリマアプリ



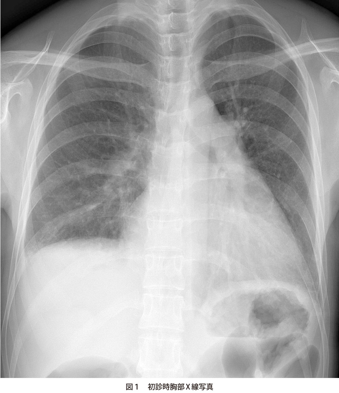
問題 咳と労作時呼吸困難の増悪で来院した40歳代男性 実践 画像診断q A 羊土社 レジデントノート 実践 画像診断q A 羊土社 レジデントノート 羊土社



Vol 505 40歳過ぎてバイトやめられない芸人 にモヤモヤ 仲間の問題行動にどうコメントすべきか 串揚げを2人で食べただけなのに Youtube



Www Mhlw Go Jp File 04 Houdouhappyou Kenkoukyoku Gantaisakukenkouzoushinka Pdf



ニート 引きこもり解決講演会 30代 40代 引きこもりからの自立 8050問題 になる前に親がすべきこと 認定npo法人ニュースタート事務局のプレスリリース



ヤフオク Hf1 64 Dvd 40歳問題 中古 見本品 浜崎



Hf1 64 Dvd 40歳問題 見本品 浜崎貴司 大沢伸一 桜井秀俊 監督 中江裕司 ドキュメンタリー 売買されたオークション情報 Yahooの商品情報をアーカイブ公開 オークファン Aucfan Com



問題 感冒症状後に湿性咳嗽 発熱をきたした40歳代男性 実践 画像診断q A 羊土社 レジデントノート 実践 画像診断q A 羊土社 レジデントノート 羊土社



40 60代が感じる 介護 終末期 への不安 健康 東洋経済オンライン 社会をよくする経済ニュース



認知症の方の まだご飯食べてない 問題のわが家の解決法 40歳からの遠距離介護



40代で復職 60社不合格 どう乗り切ったか 2 3 President Woman Online プレジデント ウーマン オンライン 女性リーダーをつくる



夫婦2人で楽しく暮らそう と言ったのに 夫から子どもが欲しいと言われました 小田桐あさぎのアラフォー人生お悩み相談



40代独身です この先の人生の展望がありません 40代お悩み相談 ファッション誌marisol マリソル Online 40 代をもっとキレイに 女っぷり上々



ヤフオク Hf1 64 Dvd 40歳問題 中古 見本品 浜崎



ヤフオク 40歳オーバーでニート状態だったぼくが初めてtoe



恋愛相談 40代女性 デンマークの彼と国際遠距離恋愛中 ビザや仕事の問題があり今後のことが決まりません 恋愛の悩み 電話占いの母 本当に当たる電話占いのススメ



緑内障 Chu Doga 福島中央テレビ



75歳以上の人口および40歳以上の人口の推移 石田まさひろ政策研究会



小説8050 林 真理子 ひきこもり 家庭を描く 特集 Nhk News おはよう日本 Nhk



8 5 社会問題への関心 第13次 13年



ビジネスのお勉強 デキる社会人の考え方を学ぶ 40歳でgafaの部長に転職した僕が代で学んだ思考法 Youtube



問33 公的年金の遺族給付に係る語句 18年5月 実技試験 Fp協会 資産設計 Fp2級ドットコム



みっかむ 体は40歳 心は歳 メジャーデビュー15周年にちなんで15種目 多すぎだから数学の問題やシングル順やら 一曲目の 鱗 以外体力が持たないから事前収録の演奏 アコギ演奏で歌声はもちろん良かったです とーやま校長と面白い



Amazon Co Jp ルポ 8050問題 高齢親子 ひきこもり死 の現場から 河出新書 池上正樹 Japanese Books



10点アップ 介護福祉士国家試験 よく出る問題 総まとめ 2021 8146



Www Mhlw Go Jp File 05 Shingikai Shakaiengokyokushougaihokenfukushibu Kikakuka Pdf



Nikka Apple Brandy Hirosaki Dekanta



40歳以上のひきこもり100万人以上 高齢ひきこもりの社会復帰を阻むもの 14年12月18日 エキサイトニュース



1



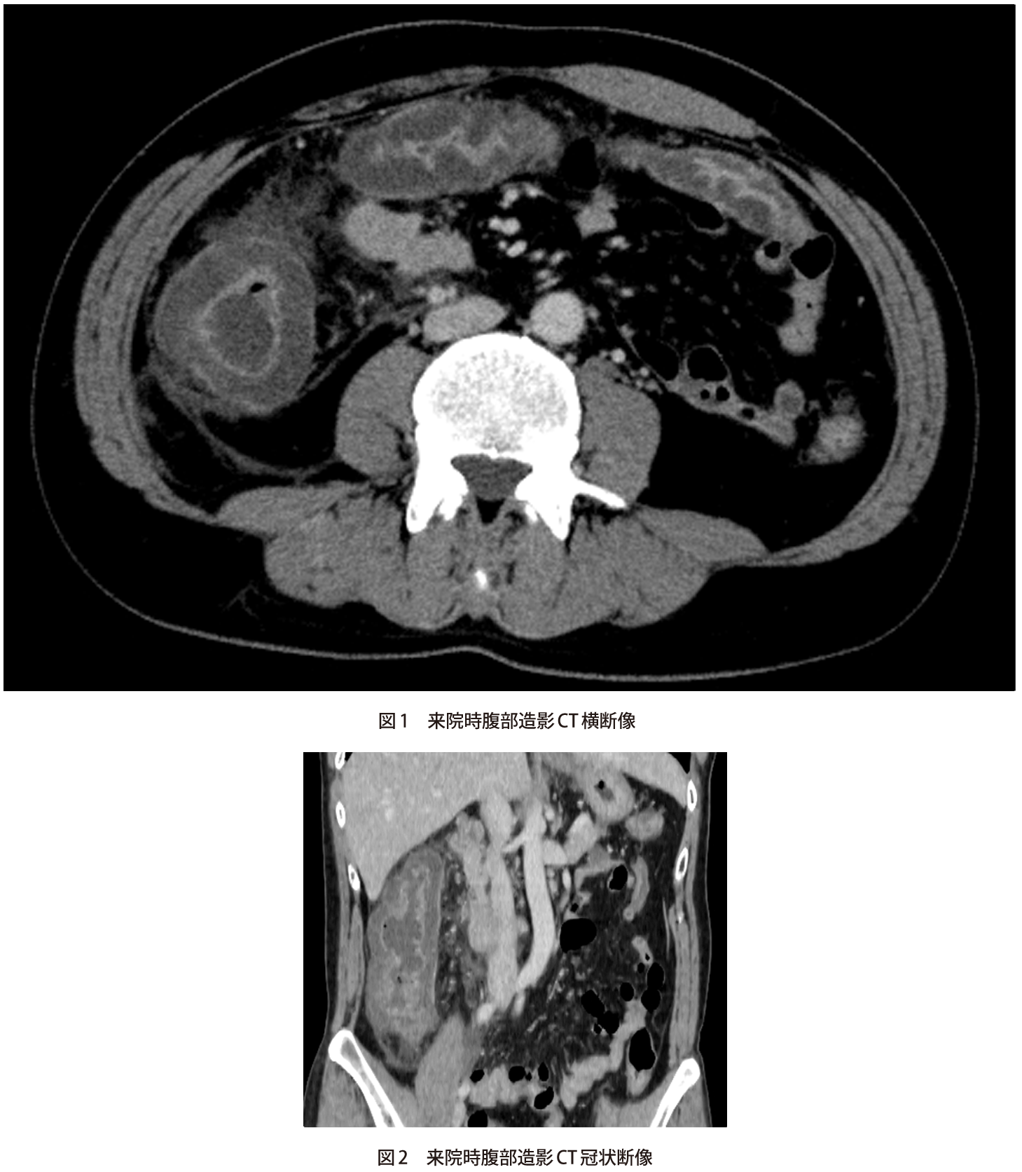
問題 発熱と全身倦怠感を訴える40歳代女性 実践 画像診断q A 羊土社 レジデントノート 実践 画像診断q A 羊土社 レジデントノート 羊土社



40歳で結婚した女性が最後に残した 条件 晩婚さんいらっしゃい 東洋経済オンライン 社会をよくする経済ニュース



介護保険料って支払わなくてもいいの 保険料未納問題について 生活相談員ラボ



40歳初妊娠 4週6日目 カフェイン問題 ダマリデザイン室



40代を過ぎると一気に景色が変わる サイボウズの年選手が語る スペシャリスト で生きるという現実 ログミーbiz



39歳で体外受精 40歳で高齢出産 41歳からの2人目妊活 再び不妊治療に挑んだ日々を描いた 2人目 どうする 作者が 漫画に込めた思いとは Umu



40歳問題 松坂智幸 これもすべて同じ一日



超音波検査士認定試験対策 臨床編 健診領域 四訂版 Amazon Com Books



1



ボード 美容 健康 のピン



抜粋 現に 世間には40歳を過ぎてから弁護士になったり 60歳を過ぎて医者になった人もいるではないか 問題 は年齢を理由にして もう駄目だと自分で自分を見限ってしまうことだ 断酒 上がり続ける株理論 Note



老後資金00万円不足 問題も 70歳まで収入を得られるようにしておく ために40代がやるべき3つのこと 文春オンライン



Paypayフリマ 英語を学ぶのは40歳からがいい 新書 中古本



メディア掲載 週刊女性6 19号 40歳過ぎの 引きこもり のリアル 一般社団法人ひきこもりux会議 オフィシャルブログ



Www Pref Kagoshima Jp Am03 Chiiki Hokusatsu Kenko Documents 1 Pdf



竹熊健太郎 フリーランス 40歳の壁 レビュー 時代と人脈の波を掴んで どう壁を乗り越えるか たけろぐ



Nimwcxjmnq1gom



O Xrhsths 光こっき Sto Twitter 7040問題って 親70歳 子は40歳 と言う 退職介護or労働介護で家族共倒れという現象らしい



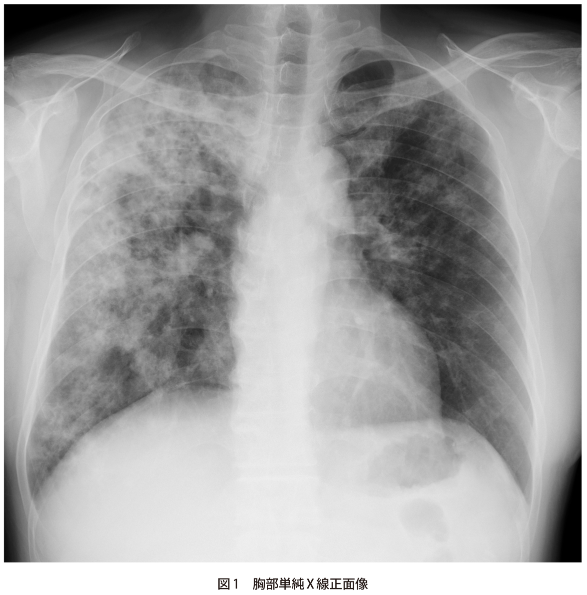
問題 呼吸苦 嗄声を主訴とする40歳代女性 実践 画像診断q A 羊土社 レジデントノート 実践 画像診断q A 羊土社 レジデントノート 羊土社



Onepiece98巻考察 サンジとチョッパーの未来 これはアカン 笑 ワンピース考察 甲塚誓ノ介のいい芝居してますね



フリーランス 40歳の壁 自由業者は どうして40歳から仕事が減るのか 竹熊健太郎 メルカリ No 1フリマアプリ



中高年ひきこもり 社会問題を背負わされた人たち 合同会社ノマド ブランディング 大杉 潤



ひきこもり対策 中高年層支援に着手 市 8050問題 踏まえ 神奈川区 タウンニュース



40歳以上の人に一人が発症 緑内障 知っておきたい5つのこと 専門医療 一宮西病院 社会医療法人 杏嶺会



40代独身男は 理想の男性像 に滅ぼされる ソロモンの時代 結婚しない人々の実像 東洋経済オンライン 社会をよくする経済ニュース



2



問題 腹痛 下痢 血便で受診した40歳代男性 腸炎の原因は 実践 画像診断q A 羊土社 レジデントノート 実践 画像診断q A 羊土社 レジデントノート 羊土社



岩手手話通訳問題研究会 岩通研 Home Facebook



Hesperian Org Wp Content Uploads Pdf Ja Wtnd 09 Ja Wtnd 09 22 Pdf



40歳問題 ミニ オリジナル サウンドトラック Amazon Co Jp



基本用語や現状問題の考察 一般社団法人エスポワール高知



私は 40歳になるmtfです 名古屋のナグモさんで適合手術して戸籍も変更しました Peing 質問箱



メルカリ 40歳オーバーでニート状態だったぼくが初めてtoeicを受けていきなり930点 参考書 630 中古や未使用のフリマ



フリーランス 40歳の壁 自由業者は どうして40歳から仕事が減るのか 竹熊健太郎 メルカリ No 1フリマアプリ



Rougo00manmondai40saikaranosisankoutikupurogaoshierukasegerukabusikitousinyumonkoronakadekabukakyuutouhajimerunaraimadatyansu By Takeshi Yamato



フリーランス 40歳の壁 自由業者は どうして40歳から仕事が減るのか 竹熊健太郎 メルカリ No 1フリマアプリ



Http Www Jca Apc Org Mihama Bousai Report Govneg Pdf



映画 29歳問題 全国順次公開中 発売中aeraにてパン監督インタビュー記事掲載 6 4発売のaera 6 11号 で 29歳問題 キーレン パン監督のインタビュー記事が掲載されております 私の前で涙を流す40代以上の男性もいて 私自身意外でした と



急増する 40歳超え転職 で求められる人 期待外れの人の違い 転職で幸せになる人 不幸になる人 丸山貴宏 ダイヤモンド オンライン



Amazon 40歳問題 Blu Ray 映画



アパトー新作 this is 40 40歳からの家族ケーカク その後の青いオトコの汁 中学生の魂百まで



35歳の誕生日迎えたc ロナウド 衰えなしの 超絶肉体 で 40歳までできる 12枚 Photo No 9



米学生ローン あえぐ中高年 民主予備選焦点に 日本経済新聞



アラフィフ女性の9割が悩む 謎の不調 の正体 健康 東洋経済オンライン 社会をよくする経済ニュース



問33 遺族基礎年金 遺族厚生年金 18年5月実技 資産設計 2級fp過去問解説



40代を過ぎると一気に景色が変わる サイボウズの年選手が語る スペシャリスト で生きるという現実 ログミーbiz



女性の糖尿病 患者さんのための糖尿病ガイド



まゆまゆ 40歳 の解釈 ラダの場合 鑑賞 面白かった サンダンス映画祭監督賞受賞のモノクロ作品 製作 脚本 監督 主演ラダ ブランク 40歳目前の脚本家が突然ラップに目覚める話なのだがめちゃくちゃ格好良い 貧困レイプラップやラップバトルなど



介護問題学習会のお知らせ



65歳の壁 はなぜ生まれるのか 介護保険と障害者福祉の狭間で起きる問題を考える ニッセイ基礎研究所



40歳過ぎの 引きこもり のリアル 週刊女性prime Line News



Hf1 64 Dvd 40歳問題 見本品 浜崎貴司 大沢伸一 桜井秀俊 監督 中江裕司 ドキュメンタリー 売買されたオークション情報 Yahooの商品情報をアーカイブ公開 オークファン Aucfan Com



40歳以上は危ない 目の前の人が消える 体験者が語る 緑内障 の怖さとは 原因と予防法をご紹介 5月31日 日 あさ7 00放送 健康カプセル ゲンキの時間 Newscast



克服 音楽理論アレルギーを治す 簡単小テスト練習法 アラフォー男がギター練習について考えるブログ



パチンコが本当になくなる日 Shop At Mercari From Japan Buyee Bot Online



映画 40歳問題 Works Doors Inc 株式会社ドアーズ



40代から増える もの忘れ を軽視できない理由 健康 東洋経済オンライン 社会をよくする経済ニュース



40歳からの健康年表 立ち読み 文藝春秋books



まとめ 40歳オーバーでニート状態だったぼくが初めてtoeicを受けていきなり930点取って人生を劇的に変えた 効果絶大な英語勉強法 春名久史 Allライフハック



1



性欲がなくなった は本当か 40歳からのセックスレス問題を考える ヨガジャーナルオンライン



8050問題 40歳から64歳の引きこもりは全国に61万3000人 小鳥遊 樹 たかなし いつき Note



はじめての方へ 介護保険制度とは しくみをわかりやすく解説します Lifull介護 旧home S介護



堺高石青年会議所 Glavnaya Facebook



1


0 件のコメント:
コメントを投稿